初台デンタルオフィス

土曜診療
初台
徒歩9分
無料相談で 矯正治療の不安 解消しませんか?
今すぐ無料で相談する
土曜診療
初台駅徒歩9分
無料相談
随時受付中
PLAN

治療費総額制

治療費総額制で安心して行う矯正治療
3プランから選べ、
あなたに合った治療を見つけられます。

  • インビザライン
    7枚プラン

    月々
    3,900
    税込
    円〜
    トータルフィー:275,000(税込)

    前歯のごくわずかな凸凹などに
    適応するプランです。

  • インビザライン
    26枚プラン

    月々
    7,900
    税込
    円〜
    トータルフィー:550,000(税込)

    以前矯正治療をされてた方の後戻りなど、
    軽微な歯の叢生の改善に適応するプランです。

  • インビザライン
    枚数無制限プラン

    月々
    13,090
    税込
    円〜
    トータルフィー:825,000(税込)

    全体的に歯ならび、咬み合わせを治していく
    標準的なプランです。

トータルフィーには、
以下の料金がすべて含まれています。
最初から最後まで
追加で費用はかかりません。

  • 初診相談
  • 矯正料
  • 調整料
  • 保定装置

※精密検査のみ5,500円費用が別途かかります。

MERIT

治療費総額制の
メリット

  • 治療開始前から治療後の保定装置まで総額でのご提示金額のため予想外の支出がなく安心です
  • 調整料など通院のたびにお支払いただく必要もないため手間がかかりません。
  • 何回通院しても通院回数によって治療費が変わりません。
  • 治療が長引いてしまったとしても追加費用がかかる心配がありません。
  • ※プランによって治療期間の上限は決まっております。
COUNSELING

歯並びの矯正治療をご検討の方は
まずは無料カウンセリングを
ご利用ください

あなたの歯並びも
治療可能

幅広い症例に対応しています

  • すきっ歯

    歯並びアイコン
  • 噛み合わせのズレ

    歯並びアイコン
  • 噛み合わせが深い

    歯並びアイコン
  • 前歯が噛み合わない

    歯並びアイコン
  • 前歯がガタガタ

    歯並びアイコン
  • 前歯が出ている

    歯並びアイコン
  • 下顎が出ている

    歯並びアイコン
治療費が高い
イメージがある
矯正治療には
痛いイメージ
がある
矯正治療は
ストレスが
かかりそう
他の医院で
治療が難しいと
判断された
こんなお悩みイメージ
こんなお悩み ありませんか?
自分の歯並びが
矯正で本当に
綺麗になるのか不安
周りの目を
気にせず
矯正したい
マウスピース矯正も
ブラケット矯正も
両方気になっている
頻繁な通院で
治療を受けるのが
面倒くさい
こんな方は、
初台デンタルオフィスの
マウスピース矯正 (インビザライン)
おすすめ!
REASON
REASON

マウスピース矯正
(インビザライン)を
おすすめする理由

おすすめする理由画像

取り外しが簡単で
通院回数も少ない

インビザラインは自分で簡単に取り外しができます。食事や歯磨きのときなど状況に応じて取り外すことができ、器具自体も取り外して洗浄できますので、お口の中も常に清潔に保つことができます。また、最短半年で治療完了するので、通院回数も少なく済みます。

おすすめする理由画像

目立たない・見えにくい

従来の矯正装置とは異なり、インビザラインのマウスピース装置は、たった0.5ミリという薄さの透明な医療用プラスチックです。なので、装着していても気づかれにくく、思いっきり笑顔になれます。人前で話すことが多い職業の方にも人気が高い矯正治療法です。

おすすめする理由画像

痛くなりにくい

インビザラインは、オーダーメイドで作成しますので、一人ひとりに合った矯正装置になります。柔らかい素材を用いたものですので、従来の矯正装置よりも痛みが少ないです。

おすすめする理由画像

金属アレルギーでも安心

マウスピースはプラスチック製の素材でできているため、金属アレルギーがある方でも安心してご使用いただけます。

おすすめする理由画像

実績豊富な矯正治療

全世界で1400万人以上の実績があります。
20年間の豊富な臨床データもありますので、信頼できる矯正装置となっております。

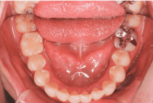
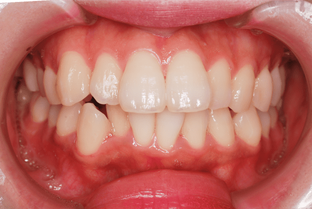
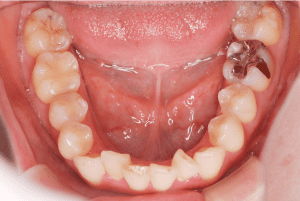
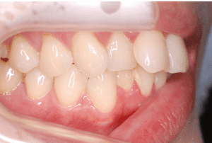
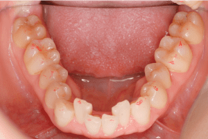
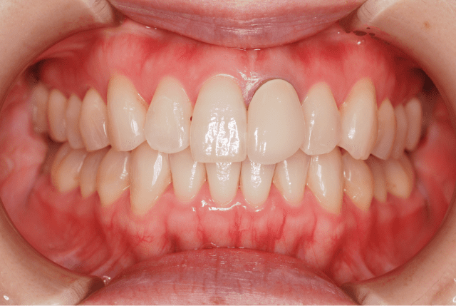
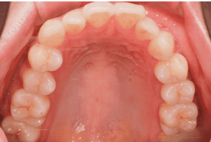
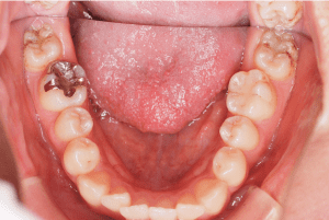
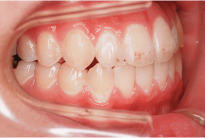
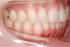
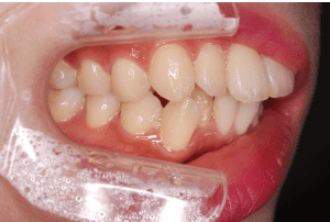
インビザラインの症例のご紹介

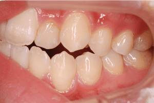
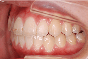
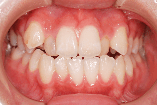
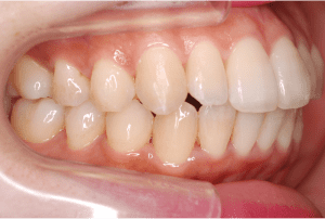
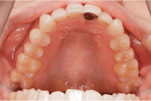
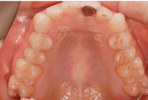
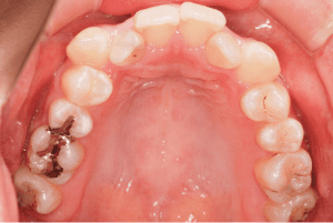
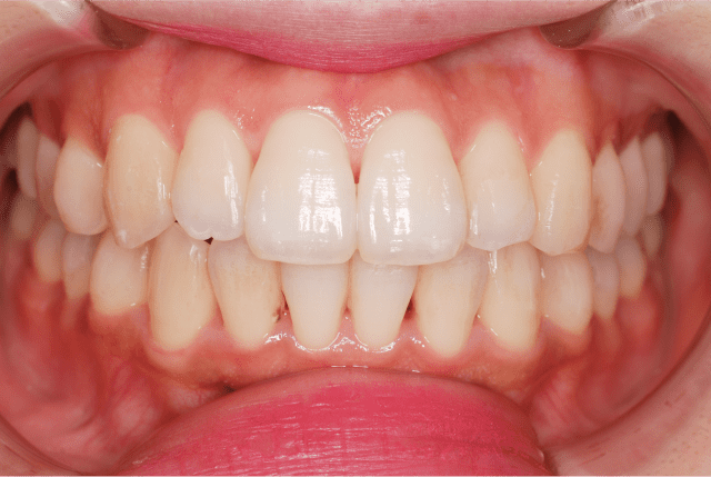
CASE1
Before
CASE1 Before CASE1 Before CASE1 Before CASE1 Before CASE1 Before
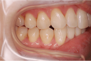
After
CASE1 After CASE1 After CASE1 After CASE1 After CASE1 After
金額
月額13090
治療期間
1年
施術内容
前歯のガタガタの改善
※ 総額825,000円(税込み)の
インビザライン治療を60回分割した場合
リスク・副作用

治療の初期段階では、
痛みや不快感が生じる場合があります。
歯の動き方には個人差があるため、
予想された治療期間より
長くなる場合があります。

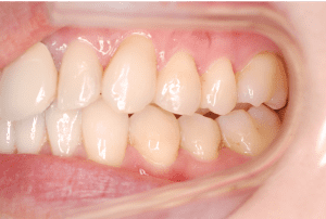
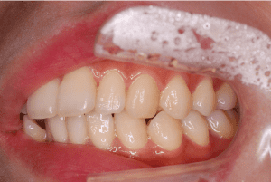
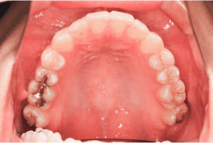
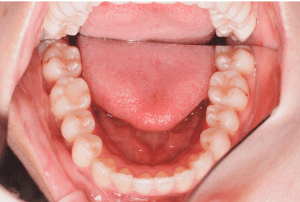
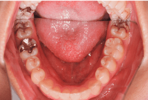
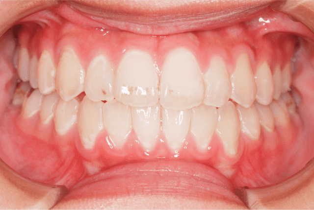
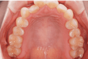
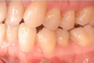
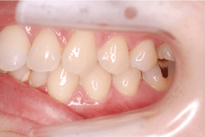
CASE2
Before
CASE2 Before CASE2 Before CASE2 Before CASE2 Before CASE2 Before
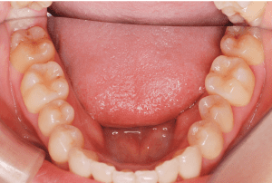
After
CASE2 After CASE2 After CASE2 After CASE2 After CASE2 After
金額
月額13090
治療期間
1年半
施術内容
前歯のガタガタの改善
※ 総額825,000円(税込み)の
インビザライン治療を60回分割した場合
リスク・副作用

治療の初期段階では、
痛みや不快感が生じる場合があります。
歯の動き方には個人差があるため、
予想された治療期間より
長くなる場合があります。

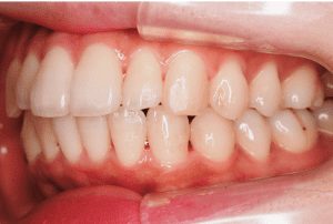
CASE3
Before
CASE3 Before CASE3 Before CASE3 Before CASE3 Before CASE3 Before
After
CASE3 After CASE3 After CASE3 After CASE3 After CASE3 After
金額
月額13090
治療期間
1年
施術内容
下の前歯のガタガタの改善
※ 総額825,000円(税込み)の
インビザライン治療を60回分割した場合
リスク・副作用

治療の初期段階では、
痛みや不快感が生じる場合があります。
歯の動き方には個人差があるため、
予想された治療期間より
長くなる場合があります。

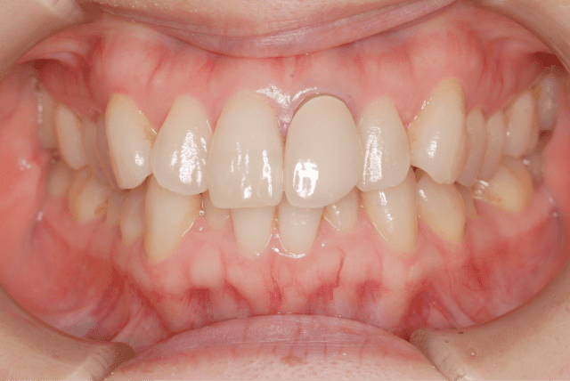
CASE4
Before
CASE4 Before CASE4 Before CASE4 Before CASE4 Before CASE4 Before
After
CASE4 After CASE4 After CASE4 After CASE4 After CASE4 After
金額
月額13090
治療期間
1年半
施術内容
上の前歯が下がっているのを改善
※ 総額825,000円(税込み)の
インビザライン治療を60回分割した場合
リスク・副作用

治療の初期段階では、
痛みや不快感が生じる場合があります。
歯の動き方には個人差があるため、
予想された治療期間より
長くなる場合があります。

COUNSELING

歯並びの矯正治療をご検討の方は
まずは無料カウンセリングを
ご利用ください

矯正治療の比較

マウスピース矯正
(インビザライン)
ブラケット矯正
取り外し 不可
目立ちにくさ 透明素材で目立ちにくい ワイヤーが金属で
目立ちやすい
装着時の痛み 弱い 強い
通院の間隔 1~3ヵ月に1回 月に1回
歯磨きのしやすさ 通常通り 磨きにくい
虫歯リスク 通常時と変わらない 磨き残しにより
むし歯リスクが高まる
治療費用
(全顎矯正)
トータルフィー
275,000〜825,000円(税込み)
トータルフィーではない
[ 治療費用の詳細はこちら ]
PLAN
初台デンタルオフィス

当院の
特徴

  1. 特徴画像

    大学病院レベルの矯正治療

    初台デンタルオフィスでは、日本矯正歯科学会認定医が在籍しておりますので、大学病院や矯正専門の歯科医院と同レベルの矯正治療が可能です。

  2. 特徴画像

    ホワイトニングの併用も可能

    初台デンタルオフィスでは、インビザラインのマウスピースにホワイトニング用ジェルを入れることでホワイトニングが可能になります。(ホワイトニングジェル1本2200円)

  3. 特徴画像

    初診相談無料

    当院では矯正治療に関するご相談を無料で受け付けております。相談をしたら必ず当院で治療をしなければならないというわけではありませんので、お気軽にご相談いただければと思います。

  4. 特徴画像

    先端設備を使用した
    精度の高い治療

    精度の高い矯正治療には、正確な情報と分析が大切です。当院では、歯科用3DCT、口腔内スキャナー(iTero)などの先端設備を導入し、患者さんの口腔内を正確に把握することで精度の高い矯正治療を行っています。

    特徴画像

    3DCTでの分析

    高性能なCTの使用によって3D画像診断が可能になり、歯並びだけでなく骨格的な状態も確認することができます。

    特徴画像

    3D口腔内スキャナー「iTero」

    従来の歯型採取では嘔吐反応などの負担がありましたが、口腔内をスキャンするだけで簡単に歯型を採取することができます。そのため、患者さんへの負担がほとんどありません。

  5. 特徴画像

    徹底した衛生管理

    当院では、安全で安心な治療を患者さんに受けていただけるよう徹底した衛生管理を行っています。すべての器具を滅菌し、ハンドピースに関しても、専用の滅菌器で滅菌しておりますのでご安心ください。

背景

矯正治療の流れ

  1. STEP1

    無料初診相談

    まずは無料初診相談へお越しください。矯正治療についてのお悩みや不安なことなどをカウンセリングさせていただきます。また、治療方針や費用についても説明いたします。丁寧に説明しますので、分からないことがあればお気軽にご質問ください。相談の結果次第では、部分矯正で済むこともありますので費用を抑えられる場合があります。

    矯正治療の流れ画像
  2. STEP2

    精密検査

    お顔とお口の写真、レントゲン写真撮影、それらの資料を分析し、治療の方法を検討します。
    マウスピース矯正の場合は3次元シミュレーションを通じ、コンピュータ画面上にて、治療完了にいたるまでの総合的な治療計画の立案・検討を行います。

    矯正治療の流れ画像
  3. STEP3

    診断結果・治療計画説明

    分析した検査結果についてご説明いたします。治療方法や治療期間、費用など詳しくご説明いたします。マウスピース矯正の場合は、 マウスピースを作製するための歯型をi Teroという口腔内スキャナーでお取りします。精密検査の後、3次元シミュレーションを通じ、コンピュータ画面上にて、治療完了にいたるまでの総合的な治療計画の立案・検討を行う「クリンチェック」を行います。

    矯正治療の流れ画像
  4. STEP4

    矯正治療開始

    治療方法についてご納得して頂ければ治療開始となり、約2週間前後でマウスピースが出来上がります。
    マウスピース矯正の場合は、初めは10日から2週間に一度来院して頂き、歯の動きの確認やマウスピースの使用状況の確認を行い、新しいマウスピースをお渡しします。問題がなければ1~3ヶ月に一度の来院となっていきます。
    また、矯正治療中は装置を装着する関係で虫歯になりやすくなるため、歯磨き指導およびクリーニングを矯正治療と並行して行います。

    矯正治療の流れ画像
  5. STEP5

    矯正治療終了・保定開始

    症状や治療方法により異なりますが、1~2.5年程度で治療が終了します。治療が終わった後も、後戻りの可能性があるため保定装置の装着が必要です。動かした期間にもよりますが、 数か月から数年かかることもあります。保定期間中は1年に3回前後の来院となります。専用の後戻り防止装置をお渡ししますので、歯並びが定着するまで装着をお願いします。

    矯正治療の流れ画像
  6. STEP6

    メンテナンス・アフターケア

    保定期間中も歯並びの経過観察が必要となりますので、定期的に検診を受けていただきます。きれいな歯並びを維持するためのメンテナンスですのでしっかりと通院するようにしましょう。

    矯正治療の流れ画像
DENTAL BILL

治療費について

矯正初診相談は無料で承っています

  • マウスピース矯正インビザライン
    7枚プラン
    初診相談
    0
    診断料・矯正料・調整料・保定装置
    275,000(税込)
  • マウスピース矯正インビザライン
    14枚プラン
    初診相談
    0
    診断料・矯正料・調整料・保定装置
    550,000(税込)
  • マウスピース矯正インビザライン
    枚数無制限プラン
    初診相談
    0
    診断料・矯正料・調整料・保定装置
    825,000(税込)

お支払方法

CASH
現金
CARD
クレジット
カード
LOAN
デンタル
ローン

デンタルローンでのお支払い例

月々
3,900
税込
円〜
で始められます

※治療費275,000円(税込み)のマウスピース矯正を
84回の分割払いでのお支払いいただく場合の例となります。

COUNSELING

歯並びの矯正治療をご検討の方は
まずは無料カウンセリングを
ご利用ください

ご挨拶

人生が輝く矯正治療を

初めまして。初台デンタルオフィス院長の蔭山雄基です。

私は矯正治療というものは、患者さまの人生をも変えてしまう素晴らしい治療だと思っております。実際、治療を行い歯並びが良くなっていく中で患者さまの人生が輝き出す瞬間をたくさん目の当たりにしてきました。治療前は暗い顔をされていた方が、性格まで明るく前向きに変わっていくことが多くあります。

実際の治療につきましては、目立たなく痛みの少ないインビザラインを主に使用し、患者さまの心と身体への負担をできる限り少なくすることを常に考えながら矯正治療を行っております。自分が受けたい治療、自分の家族に受けてもらいたい治療を提供することを理念に、皆様に素敵な笑顔をお届けしたいと思います。

蔭山 雄基
初台デンタルオフィス院長
蔭山 雄基
略歴
  • 2008 日本大学歯学部 卒業
  • 慶應義塾大学医学部歯科・口腔外科学教室 入局
  • 2010 川崎市立川崎病院歯科口腔外科 勤務
  • 2012 慶應義塾大学医学部歯科・口腔外科学教室 助教
  • 2014 所沢市 古畑歯科医院 非常勤勤務
  • 2016 医療法人社団朋成会 平井駅前歯科 勤務
  • 2017 初台デンタルオフィス 院長就任
初台デンタルオフィス
診療時間
9:00~13:00
14:30~18:00
休診日 金曜・日曜・祝日
※土曜午前9:00〜13:30
午後14:30〜17:00まで

医院紹介

ADDRESS

〒151-0071
東京都渋谷区本町2-19-1
ディスカス若杉1F

PHONE

03-6276-4720

ACCESS

よくあるご質問

Q
他院でインビザラインでは対応できないと言われたのですが、、。
A
インビザラインの適応症は広く、基本的にはインビザラインで対応可能です。しかし、当院では、ワイヤー矯正も可能なため、ワイヤー矯正の方が向いていると判断した場合は、患者様の状況を確認した上でワイヤー矯正をご提案する場合もあります。
Q
治療に年齢制限はありますか?
A
歯は健康であれば、年齢に関係なく動かすことが出来ます。
そのため、年齢制限はありません。大人の矯正の場合は成長という要素がないため、治療計画が立てやすく、また、患者様ご自身の意志で治療を受けられていることがほとんどですので、治療の遅れなども起きにくいのも事実です。
Q
1日どのくらいの時間装着すれば良いですか?
A
1日22時間以上の装着を守るようにしてください。
自由に脱着が可能であることで、決まった時間装着を忘れたり、就寝時に外れたりすることがあり得ます。そういったことがあると、計画通りの治療ができませんので必ず装着時間を守るようお願いします。
Q
治療期間はどのくらいですか?
A
一般的には1年~2年半かかります。
歯は力を与えると、歯周組織の吸収と再生を繰り返しながら、移動していきます。矯正治療はその働きを利用したかみ合わせ治療です。ゆっくりと歯が移動するため、期間は長くなります。ご相談にお越しいただければ、治療期間についてもご説明いたします。ぜひ当院へお越しください。
Q
インビザラインの治療と並行してオフィスorホームホワイトニングもできますか?
A
可能です。
オフィスホワイトニングは特に問題ありませんし、ホームホワイトニングの場合もインビザラインのマウスピースに薬液を入れることでホワイトニングが可能になります。

プライバシーポリシー

  • ・個人情報は、目的以外の事には利用いたしません。
  • ・個人情報は、漏洩や盗難などを防止するよう十分管理いたします。
  • ・患者さんへ適切な医療を提供するために、他の医療機関との連携を行う場合にのみ利用します。
  • ・利用目的を変更したときはお知らせします。
ご予約/
お問い合わせ
03-6276-4720 9時〜18時
24
無料
カウンセリング
予約
LINEアイコン
お手軽に連絡
LINE相談